Dental Implants

Did you know that dental implants are frequently the best treatment option for replacing missing teeth?

Implants provide a strong foundation for fixed (permanent) or removable replacement teeth that are made to match your natural teeth.

Dental implants are intimately connected with the gum tissues and underlying bone in the mouth.

They are made of titanium, which is lightweight, strong and biocompatible.Titanium’s special property of fusing to bone, called osseointegration is the biological basis of dental implant success. When teeth are lost, the bone that supported those teeth is lost too. Placing dental implants stabilizes bone, preventing its loss. Along with replacing lost teeth, implants help maintain the jawbone’s shape and density. This means they also support the facial skeleton and, indirectly, gum tissues, cheeks and lips. Dental implants help you eat, chew, smile, talk and look completely natural. This functionality imparts social, psychological and physical well-being.

Am I a candidate for dental implants?
Generally speaking, if you have lost teeth you are a candidate for dental implants. It is important that you are in good health, however, there are some conditions and diseases that can affect whether dental implants are right for you. For example, uncontrolled diabetes, cancer, radiation to the jaws, alcoholism, or uncontrolled periodontal (gum) disease may affect whether dental implants will fuse to your bone.

With the exception of growing children, dental implants are the solution of choice for people of all ages.

Whether you need to replace one tooth, several teeth, or all your teeth, there is a dental implant solution for you.

Dental implants are like your own teeth and will require the same care. In order to keep your implant clean and plaque-free, brushing and flossing still apply!

Results you can trust

SINGLE IMPLANT

Implant's healing phase
case 1: after
case 2: before
case 2: after
case 3: before
case3: after

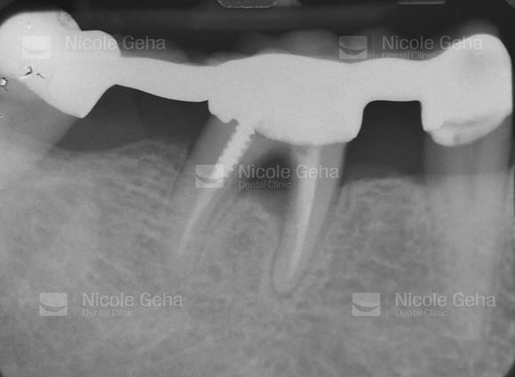
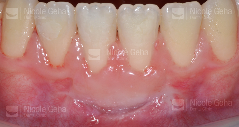
MULTIPLE IMPLANTS

case 1: Before Extraction
case 1: after
case 1: after
case 2: before replacing the bridge
case 2: after implant placement
case 2: after

FULL MOUTH

case 1: before
case 1: after
case 1: after
case 1: after