Beirut, Lebanon
contact@nicolegeha.com
Whatsapp Contact
+961 3 233 850
Mon-Fri: 9:00 A.M - 6:00 PM
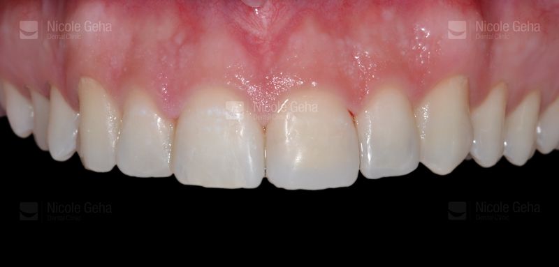
Dental Composites or “white fillings” are restorative materials used to restore decayed teeth.
Composites are also used for cosmetic improvement of the smile by changing the shape, size and color of a tooth.
It can close undesirable spaces, cover stains, abraded or worn areas of the tooth, and to replace old amalgam restorations.
For optimal aesthetic results a skilled dentist can blend different shades of composite to obtain an identical color to that of the actual tooth