Crowns & Bridges

CROWNS & BRIDGES

In dentistry, crowns and bridges refers to the restoration of natural teeth that have been damaged, decayed or lost.

 

Crowns are used to replace a large filling when there isn’t enough tooth remaining, to restore a fractured tooth, protect a week tooth from fracturing, cover a discolored tooth or to cover a dental implant.

A bridge is a fixed dental restoration (a fixed dental prosthesis) used to replace a missing tooth (or several teeth) by joining an artificial tooth permanently to adjacent teeth or dental implants.

 

Crown and bridges are also used to make a cosmetic modification and to enhance your smile by performing what is  known to be as the “Hollywood smile”.

 

As new technology and materials science has evolved, computers are increasingly becoming a part of crown and bridge fabrication, such as in CAD/CAM Dentistry

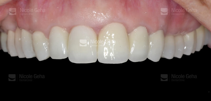
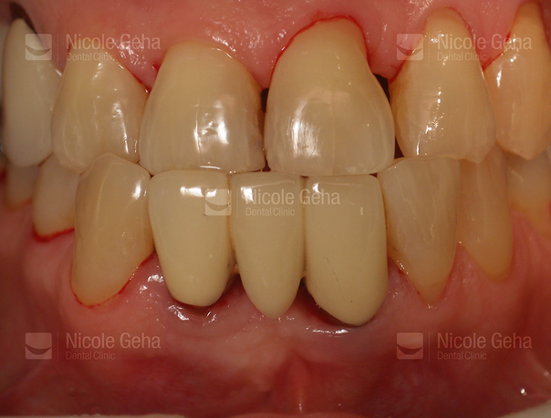
CAD-CAM FULL ZIRCONIA BRIDGE